Hiszpania: Kolejne zakażenia wąglikiem u zwierząt hodowlanych
Trzy przypadki zakażenia wąglikiem u koni i kolejne trzy u krów potwierdziły służby sanitarno-epidemiologiczne na terenie wspólnoty autonomicznej Estremadury, na zachodzie Hiszpanii.

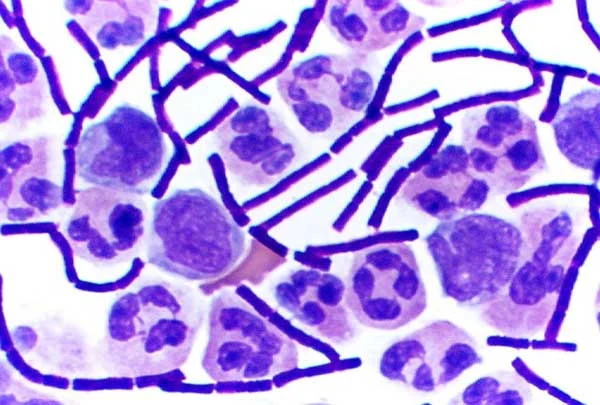
Wąglik, który wywołuje Gram-dodatnia bakteria nazywana laseczką wąglika, ostatni raz pojawił się w Hiszpanii blisko 20 lat temu. Według służb sanitarnych najczęstsze przypadki infekcji w tym kraju dotyczyły bydła, koni oraz kóz.
W dzisiejszym komunikacie władze sanitarne napisały, że ognisko infekcji występuje w miejscowości Navalvillar de Pela, w prowincji Badajoz, a także kilku okolicznych wsiach. Dodały, że wszystkie zakażenia notowane są w promieniu 30 km.
Na początku września służby sanitarne rządu wspólnoty autonomicznej Estremadury wydały alert epidemiczny w związku z pojawieniem się "prawdopodobieństwa zakażenia wąglikiem". Wskazywały wówczas, że możliwe zakażenia dotyczą zwierząt oraz ludzi.
Do środy stwierdzono tylko jeden przypadek infekcji wąglikiem u zwierzęcia hodowlanego w Hiszpanii. Pięć pozostałych potwierdzono w czwartek rano.







